برو به مطلب
خانه

لیست کلینیک های زیبایی و دندان پزشکی و جراحان پلاستیک

نام کلینیک،شهر و یا خدمات مورد نظر خود را سرچ کنید

جستجو موقعیت

جنسیت پزشک

هر دو    پزشک خانم    پزشک آقا

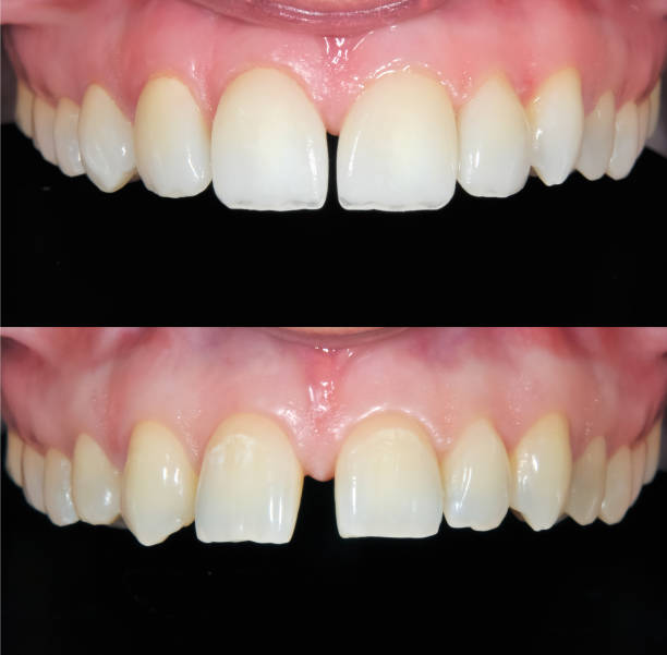
مرکز تخصصی دندانپزشکی دکتر حسام نیکزاد

ایمپلنت دندان.جراحی های دندان و لثه.کامپوزیت دندان.لمینت دندان.درمان ریشه.انواع ترمیم دندا...

کاشان، خیابان بهشتی، ساختمان ابن سینا طبقه سوم واحد 303

کلینیک دندانپزشکی اروند

آبادان،انتهای خیابان طالقانی (زند)،نرسیده به کلیسا،طبقه دوم ساختمانMRI

درمانگاه دندانپزشکی امین

خدمات درمانی و زیبایی دندان

آبادان، خیابان شهرداری، بین بهرام و میدان انقلاب

کلینیک دندانپزشکی دکتر غفاری

آبادان، خیابان شهرداری، دهم، خیابان زابل، دوازدهم

کلینیک دندانپزشکی آوان

آبادان، بلوار منتظری، بعد از ششم

مطب دکتر ارش عالمیان

آبادان - خ امیری خ پرویزی کلینیک دندانپزشکی پارس

کلینیک دندانپزشکی امام سجاد

عکسبرداری با اشعه ایکس ترمیم با کامپوزیت و آمالگام فیسینگ و اصلاح طرح لبخند عصب کشی و د...

رشت، خیابان نامجو

کلینیک دندانپزشکی آرش ابراهیمی

عکسبرداری و رادیوگرافی درمان ریشه و عصب کشی خدمات زیبایی و ترمیمی جراحی لثه و دندان

چهارراه گلسار , نرسیده به پل بوسار , ساختمان دانا , طبقه ۷ , واحد ۷۷

دکتر نیکنام جهانفر

جراحی لیفت لثه . ایمپلنت دندان . لمینت و کامپوزیت دندان .ان دو و کلیه خدمات درمانی و زیبا...

کرج .چهارراه طالقانی جنب اداره پست ساختمان وزرا طبقه 7 واحد 702

کلینیک دندانپزشکی هما

کاشت ایمپلنت با ضمانت نامه کتبی، ارتودنسی دندان، لمینت دندان، زیبایی و کامپوزیت، تحویل یک ...

تهران، شهر جدید اندیشه، تقاطع ولیعصر، مجتمع پاسارگاد

کلینیک دندانپزشکی نسترن

ایمپلنت دندان .کامپوزیت. لمینت دندان.جراحی فک و لثه.ارتودنسی

تهران.خیابان سهروردی شمالی.خیابان حسینی کوچه حدادیان پلاک 29

کلینیک دندانپزشکی روشا

خدمات درمانی و زیبایی دندان

تهران، سعادت آباد، سرو غربی، خیابان ریاضی، بخشایش، خیابان هفدهم غربی، ساختمان روشا، پلاک 83، طبقه 1، واحد 2 و 3

کلینیک دندانپزشکی تخصصی دیجیتال باران شهرک غرب

جراحی دهان و دندان.ایمپلنت و پروتز دندان.لمینت دندان.کامپوزیت ونیر.عصب کشی.ارتودنسی و کلیه...

تهران، شهرک غرب، بلوار دادمان، خیابان جهاد، خیابان اول، پلاک ۱۰

کلینیک دندانپزشکی ایرانیان(شهرک غرب)

بلیچینگ .کاشت دندان (ایمپلنت)، ارتودنسی، پروتز توسط پزشک متخصص · ترمیم های کامپوزیت.لمینت ...

تهران،شهرک غرب، بلوار فرحزادی، نبش ارغوان غربی، پلاک دوم، طبقه بالای بانک مسکن

درمانگاه شبانه روزی حکیم شیراز

کلیه خدمات درمانی و زیبایی دندان

شیراز خیابان فرهنگ شهر کوچه ۱۹ درمانگاه شبانه روزی حکیم

کلینیک شبانه روزی دندانپزشکی حکمت

خدمات درمانی و زیبایی دندان

آدرس: شیراز، جنب تقاطع بلوار استقلال و خیابان بعثت

دندانپزشکی شبانه روزی نوین مشهد

ترمیم عصب کشی کشیدن دندان ارتودنسی ایمپلنت لمینت اطفال زیبایی سفید کردن دندان و بلیچینگ کا...

مشهد، بلوار پیروزی، حد فاصل پیروزی 32 و چهارراه کوثر

درمانگاه و داروخانه و دندانپزشکی شبانه روزی شهید دارا

خدمات درمانی و زیبایی دهان و دندان,عصب کشی دندان,کشیدن دندان,جراحی دندان و کلیه خدمات اورژ...

قشم، آزادگان، سام و زال، بین خیابان یاس و شبنم

دندانپزشکی امید جزیره قشم

کلیه خدمات درمانی و زیبایی دندان,کشیدن دندان,عصب کشی,ایمپلنت دندان,لمینت دندان,کامپوزیت دن...

قشم، بلوار منتظری، بین دانشمند و غفاری

درمانگاه شبانه‌روزی و دندانپزشکی جی

کلیه خدمات درمانی و زیبایی دهان و دندان

اصفهان ،خیابان جی غربی، سه راه همدانیان

کلینیک شبانه روزی پاسارگاد اصفهان

کلیه خدمات درمانی و زیبایی دندان

اصفهان .ملت . 17 شهریور . حد فاصل اردشیر سبیلی و مهدی

کلینیک دندانپزشکی شبانه روزی کاوه اصفهان

خدمات درمانی و زیبایی دندان

اصفهان، خیابان کاوه ، نبش چهارراه جابرانصاری، کلینیک دندانپزشکی شبانه روزی کاوه

مرکز دندانپزشکی شهاب

جراحی لثه.درمان تحت بیهوشی و مانیتورینگ.دندانپزشکی کودکان.پروتزهای دندان.درمان ریشه

مشهد، احمد آباد، نبش راهنمایی 18، پلاک 103

کلینیک دندانپزشکی آرمانی

دندانپزشکی اطفال_ لمینیت سرامیکی_ اصلاح طرح لبخند_ ارتودنسی ثابت_ ایمپلنت دندان_عصب کشی و ...

شهریار ، خیابان ولیعصر ، نرسیده به تقاطع بهشتی ( مخابرات ) ، روبروی اداره پست ، مجتمع آینده ، طبقه دوم

کلینیک دندانپزشکی هما

کلیه خدمات درمانی و زیبایی دندان

تهران، شهر جدید اندیشه، تقاطع ولیعصر، مجتمع پاسارگاد

درخواست مشاوره

مشاوران ما با ارسال این فرم، در سریع ترین زمان ممکن با شما تماس خواهند گرفت

فرم مشاوره

مرکز تخصصی دندانپزشکی دکتر حسام نیکزاد

کلینیک دندانپزشکی زیوا

کلینیک دندانپزشکی اروند

کلینیک زیبایی فینیکی

کلینیک زیبایی نوین ایرانا

کلینیک زیبایی گهربد

کلینیک پوست و لیزر مو ققنوس

کلینیک تخصصی پوست و مو مریم

کلینیک زیبایی پوست و مو مانا

کلینیک زیبایی آنجل مشهد

کلینیک زیبایی آناشید مشهد

کلینیک زیبایی ابرا مشهد

کلینیک زیبایی پوست و مو شاپرک

کلینیک‌‌‌ زیبایی‌ سلن‌

کلینیک دولتی زیبایی و سلامت ایده آل

کلینیک تخصصی پوست و مو آرارز مشهد

کلینیک مجموعه زیبایی خورشید

کلینیک پوست و مو زیبایی لاوین مشهد

کلینیک زیبایی میراکل مشهد

کلینیک پوست و مو هما مشهد

کلینیک زیبایی اکسیر جوانی سایه مشهد

کلینیک دندانپزشکی خانواده سنندج

کلینیک دندانپزشکی شبانه روزی معراج

کلینیک لبخند سنندج

کلینیک دندان پزشکی تبسم سنندج

کلینیک دندانپزشکی اپال

کلینیک دندانپزشکی آلفا

درمانگاه دندانپزشکی راد

کلینیک دندان پزشکی نسیم

کلینیک زیبایی حس خوب دکتراحمدی و عزیزی

کلینیک پوست مو و زیبایی ماه رو

کلینیک زیبایی حس خوب دکتر زرین

کلینیک دکتر روژین آقایی

کلینیک زیبایی هرا

کلینیک زیبایی دکتر حسن زاده

مرکز لیزر و زیبایی دکتر پویا

کلینیک زیبایی برلیان

کلینیک زیبایی شن های طلایی

مرکز زیبایی مون

کلینیک زیبایی پوست و مو شاین

کلینیک زیبایی گلدن رز سنندج

کلینیک زیبایی آرا سنندج

کلینیک زیبایی دکتر صابری

کلینیک زیبایی دکتر پویا مرکز تخصصی لیزر و هایفوتراپی

کلینیک زیبایی سیب صورتی

مرکز زیبایی تخصصی واران

کلینیک پوست و مو زیبایی دکتر غزال آقائی

کلینیک زیبایی ژوان

کلینیک زیبایی دکتر پیوند

کلینیک لیزر و زیبایی پرنا

کلینیک لیزر ارکیده

كلينيك زيبايى روكال

کلینیک دندانپزشکی دکتر یونسی

کلینیک زیبایی مهرآسا

کلینیک زیبایی رویال

کلینیک دندان پزشکی کرمان

کلینیک دندانپزشکی سینوهه

کلینیک دندانپزشکی مهر

کلینیک دندانپزشکی آریا

کلینیک دندانپزشکی ایران مهر

کلینیک دندانپزشکی کرمان کلینیک

کلینیک تخصصی دندانپزشکی ماهان

کلینیک دندانپزشکی ایران

کلینیک دندانپزشکی رویای لبخند

کلینیک دندانپزشکی سلامت

کلینیک دندانپزشکی پارس

کلینیک دندانپزشکی فردوسی

کلینیک دندانپزشکی پاسارگاد

کلینیک تخصصی دندانپزشکی روشان

کلینیک تخصصی ایرانمهر

کلینیک دندانپزشکی صدف

كلينيك دندانپزشکی تخصصى ارتودنسى

کلینیک دندان پزشکی دکترحامدحافظی

کلینیک دندان پزشکی برلیان

کلینیک دندان پزشکی کارمادنت

کلینیک دندان پزشکی ایده

کلینیک دندانپزشکی شبانه روزی گلستان

کلینیک دندانپزشکی تسکین

کلینیک دندانپزشکی ماد

کلینیک دندانپزشکی نیکان

کلینیک دندانپزشکی ترنج

کلینیک دندانپزشکی برلیان

کلینیک دندانپزشکی لبخند

کلینیک دندانپزشکی مروارید

کلینیک دندانپزشکی دکتر عذاری

کلینیک دندانپزشکی الماس

کلینیک دندانپزشکی سیب

کلینیک دندانپزشکی پاداد

کلینیک دندانپزشکی خانواده

کلینیک دندانپزشکی شهدا

کلینیک دندانپزشکی پاستور

کلینیک دندانپزشکی کیانپارس

کلینیک دندانپزشکی زند

کلینیک دندانپزشکی تبسم

کلینیک دندانپزشکی ایرانپارس

کلینیک دندانپزشکی پارس

کلینیک دندانپزشکی نیلا

کلینیک دندانپزشکی ملل اهواز

کلینیک دندانپزشکی صدف

درمانگاه دندانپزشکی باهنر

درمانگاه شبانه روزی دندانپزشکی امین

کلینیک دندانپزشکی سهیل

کلینیک دندانپزشکی آریان

کلینیک دندانپزشکی دی اهواز

کلینیک دندانپزشکی مدرن

کلینیک دندانپزشکی مهرسو

کلینیک دندانپزشکی اهورا

کلینیک دندانپزشکی یاقوت

کلینیک دندانپزشکی نور

کلینیک دندانپزشکی ایران

کلینیک دندانپزشکی نسیم

درمانگاه دندانپزشکی خیریه امام سجاد(ع)

کلینیک دندانپزشکی عاج

کلینیک دندانپزشکی ایرانمهر

کلینیک دندانپزشکی و دندانسازی پرستو

درمانگاه دندانپزشكی ملت

درمانگاه دندانپزشکی مهر

کلینیک دندانپزشکی نیایش

درمانگاه دندانپزشکی شاد

درمانگاه دندانپزشکی درسا اهواز

جراح دندانپزشک و دندانساز دکتر سارا مرمضی

کلینیک زیبایی صدف اهواز

کلینیک زیبایی گینو اهواز

کلینیک زیبایی دکتر باوی

کلینیک زیبایی الماس رویان

کلینیک لیانا اهواز

کلینیک لیزر و زیبایی آنی

مرکز لیزر و زیبایی پگاه

کلینیک زیبایی و مرکز لیزر رخساره

کلینیک زیبایی بهار حاجی پور

کلینیک زیبایی دکتر مانا والا

کلینیک زیبایی دکتر ملک

کلینیک زیبایی سارک

کلینیک زیبایی مروا

کلینیک زیبایی پرتو

کلینیک زیبایی دکتر سارا منجزی

کلینیک زیبایی لیانا

کلینیک تخصصی زیبایی زرین

کلینیک زیبایی لیزر ایرانیان

کلینیک تخصصی زیبایی، لاغری و لیزر سوشا

کلینیک تخصصی زیبایی خانواده

کلینیک زیبایی دکتر شهین ملک

کلینیک زیبایی و مرکز لیزر مهر

کلینیک تخصصی پوست و مو مروارید زیتون

کلینیک لیزر و کاشت مو جندی شاپور

مرکز مراقبت پوست و مو کیانپارس

مرکز لیزر و کاشت مو دکتر رادمنش

مرکز لیزر اهواز

مرکز تخصصی زیبایی دکتر محمد علی زکی زاده

کلینیک پوست و مو سبز

کلینیک زیبایی پوست و مو رویتا

کلینیک زیبایی پوست و مو سایه

کلینیک زیبایی آلما

کلینیک زیبایی پوست و مو ساینا

کلینیک زیبایی دلابیوتی

کلینیک زیبایی پوست و مو ارژینو اهواز

کلینیک زیبایی سومیا اهواز

کلینیک تخصصی زیبایی ویولت اهواز

کلینیک کاشت موی شیرزادگان اهواز

کلینیک زیبایی دکتر فرانک دانش پژوه

مرکز پوست و لیزر آپادانا اهواز

مرکز لیزر و دی کلینیک خوزستان

کلینیک لیزر و زیبایی جانان اهواز

کلینیک لاغری موضعی در کیانپارس اهواز

کلینیک لیزر و زیبایی پان اسکین

کلینیک پوست و مو آویستا اهواز

کلینیک کاشت مو سلامات اهواز

مرکز لیزر بانوان مونالیزا اهواز

مرکز فوق تخصصی لیزر و پوست رایانو اهواز

کلینیک لاغری و زیبایی بهار اهواز

کلینیک زخم و زیبایی نوازش

کلینیک شادی

کلینیک به سیما مهرشهر کرج

کلینیک مرکز زیبایی سامان اسکین

کلینیک زیبایی و لیزر روشا کرج

کلینیک تخصصی لاغری و زیبایی اوکتا

کلینیک لیزر و زیبایی نیلوفر

کلینیک زیبایی آسمان آبی کرج

کلینیک زیبایی اسفند کرج

کلینیک مرکز زیبایی الن

کلینیک زیبایی مروا

کلینیک زیبایی گلد

کلینیک زیبایی سن سو

کلینیک لاغری و کاهش وزن نارین کرج

کلینیک لاغری دلفینیوم

کلینیک لاغری اسلیم بیوتی

کلینیک زیبایی درمالوکس

کلینیک زیبایی و لاغری آیسان

کلینیک زیبایی آوینا

کلینیک زیبایی جهانشهر

کلینیک پوست و مو تاج

کلینیک زیبایی آپیلنس

کلینیک زیبایی پوست و مو درنیکا

کلینیک مهر

کلینیک لیزر و زیبایی کاملیا

کلینیک نیک رویان گلشهر

کلینیک زیبایی دکتر زهرا انجمنی

مطب زیبایی شین البرز

کلینیک زیبایی دکتر اوکی

کلینیک پوست و مو آلا

کلینیک زیبایی آرزو

کلینیک لاغری و زیبایی افرا

کلینیک دکتر فرهاد شهسواری

کلینیک و مرکز لاغری بهبد در کرج

مرکز لاغری آرزو نوری در کرج

کلینیک زیبایی لیزر و پوست ارم در کرج

کلینیک زیبایی هدیه امین در کرج

مرکز لیزر و زیبایی آفتاب

کلینیک بیوتی طب

کلینیک دندانپزشکی دریا (کرج)

کلینیک دندانپزشکی آرتین (کرج)

کلینیک دندانپزشکی نوین (کرج)

کلینیک دندانپزشکی نهال دنتال

درمانگاه دندانپزشکی دندانه (کرج)

کلینیک دندانپزشکی دکتر فرشته عبدی (کرج)

کلینیک دندانپزشکی مهران (کرج)

کلینیک دندانپزشکی ارغوان کرج

کلینیک دندانپزشكى دكتر آنيتا مديرروستا (کرج)

کلینیک دندانپزشکی مرسانا (کرج)

کلینیک دندانپزشکی دكتر حجازی کرج

کلینیک دندانپزشکی دکتر سوده فراغت (کرج)

کلینیک دندانپزشکی پرنیان

کلینیک دندانپزشکی رویش

کلینیک دندانپزشکی یاسین

کلینیک دندانپزشکی شبانه روزی دکتر شفیعی

درمانگاه دندانپزشکی دکتر اسکندری

کلینیک تخصصی دندانپزشکی دکتر قائمی

کلینیک دندانپزشکی فرجام

کلینیک دندانپزشکی دکتر پاکروان

کلینیک دندانپزشکی دکتر جنتی

دندانپزشکی شبانه روزی شمیران نو

کلینیک دندانپزشکی شبانه روزی کیوان

درمانگاه دندانپزشکی شبانه روزی شهدای اتوبوسرانی

کلینیک دندانپزشکی اورژانس و زیبایی شبانه روزی هروی

کلینیک دندانپزشکی سبز

کلینیک دندانپزشکی لبخند سپید شرق

کلینیک دندانپزشکی رویای سپید

کلینیک دندانپزشکی شایلین

کلینیک دندانپزشکی ستاره شرق

درمانگاه تخصصی دندانپزشکی دکتر الیاسی در تهرانپارس

کلینیک دندانپزشکی مجید

کلینیک دندانپزشکی ایرانیان شرق

کلینیک تخصصی دندانپزشکی بهفر

دندانپزشکی پلی کلینیک طاها طب

دندانپزشکی دکتر حسین کریمی

کلینیک ودرمانگاه دندانپزشکی ریحانه

درمانگاه دندانپزشکی شبانه روزی دکتر حکیمی (تهرانپارس)

مرکز دندانپزشکی دکتر سحر صفا

درمانگاه شبانه روزی دندانپزشکی شمس آباد

کلینیک دندانپزشکی مهرآوید (پیروزی)

کلینیک دندانپزشکی آدرینا (نارمک)

کلینیک دندانپزشکی و ارتودنسی ایده آل

کلینیک دندانپزشکی ترنج (تهرانپارس)

کلینیک دندانپزشکی مدرن (نارمک)

کلینیک دندانپزشکی آنل

کلینیک دندانپزشکی کریستال

کلینیک دندانپزشکی خورشید شرق

کلینیک دندانپزشکی دکتر جوادیان

مرکز دندانپزشکی و زیبایی الیت

کلینیک دندانپزشکی یارا

کلینیک زیبایی دکتر پروانه نوری

کلینیک تخصصی پوست، مو و زیبایی ویانا

کلینیک زیبایی مینیاتور در خیابان پیروزی

کلینیک زیبایی گلبرگ

کلینیک زیبایی دکتر ترنم لطفی

گروه پزشکی زیبایی سابرینا

کلینیک زیبایی آرمیتی

کلینیک تخصصی پوست و مو سیب سبز

کلینیک تخصصی پوست و مو نیک آفرید

مرکز زیبایی و لیزر الیزه

کلینیک پوست مو خاتون

كلينيک پوست، مو و لیزر آوا

کلینیک پوست و زیبایی و لیزر الماس

کلینیک زیبایی هیوا

کلینیک تخصصی پوست، مو و زیبایی ویانا

کلینیک زیبایی پارسه

مرکز زیبایی و لیزر ماژ

کلینیک زیبایی دالیا

کلینیک دکتر مصطفی خدایاری

کلینیک زیبایی نیلین

کلینیک دکتر مهشید طالبی

کلینیک زیبایی آفرینش

دکتر احمد غفاری تویسرکانی

دکتر منیرالسادات سیاه پوش

مرکز تخصصی پوست و مو و زیبایی دکتر قلی زاده

کلینیک تخصصی پوست و مو آریسا

کلینیک تخصصی پوست و مو یکتا

کلینیک زیبایی ماهرو - دکتر هادی جمالی

مرکز زیبایی و لیزر ژیکال

مرکز لاغری پوست و زیبایی سینا

کلینیک زیبایی پوست و مو و لیزر نیلوفر آبی

کلینیک زیبایی ونوس شرق

کلینیک زیبایی گلبرگ هفت حوض

مرکز لیزر موهای زائد ساحل مروارید(شعبه شرق)

کلینیک زیبایی روشا

مرکز پوست و لیزر مهر

مرکز لیزر موهای زائد مه آرا

کلینیک پوست و مو و لیزر ایران

کلینیک زیبایی نیکرویان در تهرانپارس

کلینیک زیبایی نیکرویان

کلینیک زیبایی بیوتی

کلینیک زیبایی و مراقبت پوست و مو ستیلا

کلینیک زیبایی دکتر امیر تیمور جهانگیری

جراح زیبایی دکتر کامبیز ایزدپناه

جراح زیبایی دکتر شهناز ابولزاده

جراح زیبایی دکتر راضیه جعفری

جراح زیبایی دکتر کیوان مهدی نژاد

جراح زیبایی دکتر کامران هداوند میرزایی

کلینیک لیزر و زیبایی بیوتا

مرکز لیزر و کلینیک زیبایی و لاغری رادین

مرکز لیزر و کلینیک زیبایی الیسو

کلینیک پوست مو زیبایی و لیزر آسمانه

کلینیک پوست، مو و زیبایی نیلا

مرکز لیزر و مرکز لاغری دکتر معصومی

مرکز تزریق چربی و لیزر بدن شمس آباد

کلینیک لیزر انست

کیلینیک پزشکی ولیفت نخ و زیبایی نبضی نو

کلینیک دندانپزشکی پارسیان

کلینیک دندانپزشکی مهر پارسه

مرکز دندانپزشکی و دندانسازی نکو

کلینیک دندانپزشکی لاله

کلینیک دندانپزشکی آریا

پلی کلینیک تخصصی رامیار

کلینیک دندانپزشکی تاج

کلینیک دندانپزشکی لبخند ایده‌آل

کلینیک دندانپزشکی شبانه روزی غرب تهران فروردین

کلینیک دندانپزشکی شبانه روزی زاگرس

کلینیک دندان پزشکی شبانه روزی فردوس

کلينيک دندانپزشکی شبانه روزی مهديس

کلینیک تخصصی دندانپزشکی ایرانمهر

کلینیک دندانپزشکی درسان

کلینیک دندانپزشکی پیمان

کلینیک دندانپزشکی یاس (خیابان بهبودی)

کلینیک دندانپزشکی یاس (خیابان بهبودی)

کلینیک دندانپزشکی شبانه روزی صادقیه

مرکز زیبایی آدری

كلينيك زيبايي ايرانيان

کلینیک پوست و مو باربد

مرکز پوست و زیبایی بنیتا

کلینیک تخصصی پوست، مو و لیزر مهرافروز

کلینیک پایتخت زیبایی ایران

آکادمی و خدمات پوست و مو دکتر فاخته علی اکبری

مرکز زیبایی شی لیزر

کلینیک زیبایی گلدن رویال نیاوران

کلینیک پوست و مو دکتر مسعود جعفری

کلینیک زیبایی دکتر یسری طباطبایی

کلینیک پوست دکتر نسرین دولتی

مرکز زیبایی و تناسب اندام هارمونی

کلینیک زیبایی رویان نیاوران

کلینیک پوست، مو و زیبایی قوی سفید

کلینیک پوست، مو و زیبایی موگه

کلینیک مراقبت های زیبایی پوست و مو دکتر نازیلا سعیدزاده

کلینیک پوست، مو و زیبایی هیلدا

کلینیک تخصصی پوست و مو خانه سفید

کلینیک تخصصی پوست، مو و زیبایی رئوف

کلینیک تخصصی مراقبت های زیبایی رؤیای آبی (بلوتاچ)

کلینیک زیبایی صدف بیوتی لند

کلینیک زیبایی پانی

کلینیک تخصصی زیبایی پروشات

مطب زیبایی نیاوران

کلینیک زیبایی مرسی

درمانگاه پوست و مو آوینا

کلینیک زیبایی چهره نگار

کلینیک زیبایی دوما

خانه پوست مون امی

کیلینیک پوست مو لیزر دکتر زمانی

کلینیک زیبایی فخرائی

کلینیک پوست، مو و زیبایی لیزر سنتر

کلینیک زیبایی پوست و مو دیاموند (دکتر یوسفی)

کلینیک تخصصی پوست و موی ساعی

کلینیک زیبایی اچ تو

کلینیک زیبایی دکتر نیلفروش‌‌زاده

کلینیک زیبایی ره یا

کلینیک زیبایی ایران زمین

کلینیک زیبایی ،لیزر و لاغری گل مریم

مرکز لیزر و کلینیک زیبایی آرا

کلینیک زیبایی گندم

کلینیک لیزر و جراحی مینوسا

کلینیک پوست، مو و زیبایی ماهور

مرکزتخصصی فیشال وپاکسازی پوست آزیتا نوری

کلینیک زیبایی و تناسب اندام دکتر جهانی

كلينيك پوست و مو و ليزر لادن

کلینیک پوست مو زیبایی ارکیده

كلينيک پوست ، مو وزیبایی رزهای طلايی

کلینیک زیبایی عصر زیبایی

مرکز لیزر و کلینیک زیبایی دکتر خانجانی

کلینیک زیبایی کالیستو

کلینیک زیبایی شید

کلینیک دندانپزشکی پرنیان

کلینیک دندانپزشکی رویش

کلینیک دندانپزشکی یاسین

کلینیک دندانپزشکی نیاوران

کلینیک دندانپزشکی الهیه

کلینیک دندانپزشکی شبانه روزی مینوسا

کلینیک دندانپزشکی تهران اسمایل

کلینیک دندانپزشکی درین تجریش

کلینیک دندانپزشکی رایا دنتال

کلینیک دندانپزشکی شبانه روزی بهشاد

کلینیک تخصصی دندانپزشکی ماکان

کلینیک تخصصی دندانپزشکی راحیل

کلینیک دندانپزشکی دیباجی

کلینیک دندانپزشکی لایت پاسداران

کلینیک دندانپزشکی دولت

کلینیک دندانپزشکی لویزان سوم

کلینیک دندانپزشکی نخل

کلینیک دندانپزشکی راد

کلینیک شبانه روزی دندانپزشکی پردیس

کلینیک دندانپزشکی تبسم تجریش

کلینیک دندانپزشکی قاضی طباطبایی

دندانپزشکی درمانگاه شبانه روزی ندا

کلینیک دندانپزشکی پرهام

کلینیک دندانپزشکی قلهک

کلینیک دندانپزشکی هروی

کلینیک دندانپزشکی بهار (ظفر)

دندانپزشکی درمانگاه خیریه امام علی ابن ابیطالب (ع)

دندانپزشکی کلینیک شبانه روزی ساج (سعادت آباد)

دندانپزشکی یونیک اسمایل (خیابان دولت)

کلینیک تخصصی دندانپزشکی ماهوش تجریش

کلینیک تخصصی دندانپزشکی یارا پریمیوم

کلینیک دندانپزشکی دریا

کلینیک دندانپزشکی باوان

کلینیک دندانپزشکی باشار

مرکز دندانپزشکی درنا

کلینیک دندانپزشکی و زیبایی برلیانس

کلینیک پوست و کاشت مو و لیزر موهای زائد ایران نوین

درمانگاه دندانپزشکی رازی

درمانگاه دندانپزشکی سینا

درمانگاه دندانپزشکی مینا

کلینیک دندانپزشکی رویال

کلینیک دندانپزشکی صبا

کلینیک دندانپزشکی بهار

درمانگاه دندانپزشکی پردیس

کلینیک دندانپزشکی مهرگان

مرکز تخصصی دندانپزشکی سلامت

کلینیک دندان پزشکی حکیم

کلینیک دندانپزشکی قاف

درمانگاه دندنپزشکی نگین

کلینیک تخصصی پوست و لیزر بزرگمهر

درمانگاه تخصصی پوست و مو ايرانيان

کلینیک پوست، مو و لیزر آریا

کلینیک زیبایی آدینا

مرکز زیبایی رز سفید

کلینیک زیبایی و مجموعه درمانی کیانمهر

مرکز زیبایی و لیزر مهسان

کلینیک زیبایی بهسیما

کلینیک پوست و مو زرین

درمانگاه آرمان

کلینیک تخصصی پوست، مو و زیبایی پایدار فخرایی

مرکز مشاوره لیزر، زیبایی و لاغری رامیسا

کلینیک زیبایی دکتر محمد رضا جیحانی

کلینیک تخصصی کاشت مو به‌سیما

کلینیک زیبایی گندم

کلینیک تخصصی جراحی پوست، زیبایی و لیزر اکسیر

کلینیک تخصصی کاشت مو پادرا

کلینیک زیبایی پوست و مو آریادرم

کلینیک لیزر و زیبایی آیسان

کلینیک لیزر زیبایی و لاغری آرا

کلینیک زیبایی یاس

کلینیک زیبایی دکتر ابراهیمی

کلینیک زیبایی دیاموند بندرعباس دکتر احسان معتمد

کلینیک زیبایی و کاشت مو پرمون

کلینیک زیبایبی آرمانی

کلینیک زیبایی دکتر علیرضا امیری

سان کلینیک

کلینیک مرکز لیزر پارسیان

کلینیک زیبایی پوست و مو عسل

کلینیک زیبایی دکتر سارا رفیع

کلینیک زیبایی دکتر شهلا حسین پور

کلینیک تخصصی لیزر و زیبایی آرام

کلینیک مرکز زیبایی و لیزر دکتر ندا گودرزی

کلینیک زیبایی پارسیس

کلینیک پوست و مو جوانه

کلینیک زیبایی صدف

مرکز زیبایی و درمانی دل‌آرام

کلینیک تخصصی پوست و مو رویال

مرکز زیبایی سانا

کلینیک زیبایی گلستان

کلینیک تخصصی پوست و مو نوید

کلینیک زیبایی ترمه

کلینیک تخصصی زیبایی رویال‌سر بندرعباس

کلینیک زیبایی الوا

کلینیک دندانپزشکی سپید بندرعباس

کلینیک دندانپزشکی دیبا بندرعباس

دندانپزشکي دولتی امام علي هرمزگان

درمانگاه دندان پزشکی مهرگان بندرعباس

کلینیک دندانپزشکی صدف بندرعباس

کلینیک دندانپزشکی نور

کلینیک دندانپزشکی شبانه روزی هما

کلینیک دندانپزشکی دکتر اعتمادی فر

کلینیک دندانپزشکی آتیه بندرعباس

کلینیک دندانپزشکی مفید

درمانگاه دندانپزشکی لبخند بندرعباس

درمانگاه دندانپزشکی اسما پرمر

کلینیک دندانپزشکی هرمز

درمانگاه دندانپزشکی دریا بندرعباس

کلینیک دندانپزشکی صدف خرم آباد

کلینیک دندانپزشکی آریا خرم آباد

کلینیک دندانپزشکی لبخند ( دکتر علی اکبر فکوری )

مرکز دندانپزشکی یاس خرم آباد

درمانگاه دندانپزشکی سپید

درمانگاه دندانپزشکی آوان

مطب دندان پزشکی دکتر مهشید احمدی

دندانپزشکی صبا خرم آباد

کلینیک دندانپزشکی پارسا

کلینیک دندانپزشکی الماس نور

کلینیک دندانپزشکی کاج

کلینیک زیبایی دایموند خرم آباد

کلینیک زیبایی دکتر نگار طاهری

کلینیک زیبایی بهمن

کلینیک زیبایی هانیل

کلینیک تخصصی پوست، مو و زیبایی درسا

کلینیک تخصصی مراقبت های زیبایی اورانوس

کلینیک پوست، مو و زیبایی دکتر فراهانی

کلینیک دندانپزشکی مهر شریعتی

کلینیک دندانپزشکی مدرن

کلینیک دندانپزشکی دریای نور

مرکز دندانپزشکی آرام

کلینیک دندانپزشکی سبز

درمانگاه شبانه روزی دندانپزشکی آبان

کلینیک دندانپزشکی مهر گاندی

کلینیک دندانپزشکی صدف

دکتر علی الماسی

دکتر کامبیز پوریوسف

دکتر محسن میر حسینی

دکتر یوسف شفائی خانقاه

دکتر ندا ظهیری

دكتر رفيع پرنيا

دکتر محسن فدایی

دکتر ناصر یاهو

دکتر شهریار حدادی

دکتر پیمان صدری

دکتر فاطمه حسینی زادگان

دکتر افسانه ثنایی

دکتر ایوب باقری؛ فوق تخصص جراجی پلاستیک، زیبایی و پیکرتراشی

کلینیک تخصصی جراحی پلاستیک و زیبایی دکتر آرش نجف بیگی

دکتر محمدرضا ترحمی، فوق تخصص جراحی پلاستیک، زیبایی و ترمیمی

دکتر علی اکبر مروتی فوق تخصص جراحی پلاستیک

دکتر هادی آمالی امیری فوق تخصص جراحی پلاستیک، ترمیمی و سوختگی

دکتر عطاالله حیدری

دکتر سیامک صدیقی

دکتر سیامک صدیقی متولد ۱۳۵۷ دوره عمومی علوم پزشکی شهید بهشتی تخصص علوم پزشکی شهید بهشتی بیش از ۱۱ سال تجربه جراحیهای زیبایی

دکتر نفیسه جوادی

دکتر فاطمه حسینی زادگان شیرازی

دکتر روح اله بخشی

دکتر محسن اسدی

دکتر فرهاد اژدری؛ فوق تخصص جراحی پلاستیک و زیبایی

دکتر بابک جعفرنژاد؛ فوق تخصص جراحی پلاستیک، زیبایی، ترمیمی و سوختگی

دکتر داریوش نادری؛ فوق تخصص جراحی پلاستیک و لیزر

دکتر سیدعلیرضا تولیت

کلینیک تخصصی مراقبت های زیبایی دکتر شقایق طهماسبی

دکتر امیررضا معتبر

فوق تخصص جراحی پلاستیک، زیبایی و ترمیمی

کلینیک دکتر عطا حیدری

دکتر امیر دریانی

دکتر عزت الله حق گذار

دکتر رضا حسامی

دکتر احمد علی رجب پور

دکتر حسن پیوندی

دکتر الهام خلج

دکتر مریم محمدی

مجموعه زیبایی دنیز

دکتر علی الماسی

دکتر محمدرضا آخوندی نسب

دکتر علی منافی

دکتر رقیه جلیلی

دکتر ناهید نفیسی

دکتر علی الستی

دکتر بهزاد فرخی

دکتر علی ابراهیمی

دکتر حمیدرضا مکارچیان

کلینیک دندانپزشکی دکتر سهیل تواهن

کلینیک دکتر راستگو

کلینیک دندانپزشکی علوی

کلینیک پوست و مو و زیبایی سناتور

مطب پوست مو و زیبایی لئا

دکتر سید محمد آقاجانپور

کلینیک دندانپزشکی هما

کلینیک دندانپزشکی نسترن

کلینیک دندانپزشکی آرمانی

کلینیک دندانپزشکی هما

مرکز لیزر ستاره در شیراز

کلینیک زیبایی بوژان در شیراز

کلینیک زیبایی دیارا اردبیل

مرکز زیبایی دکتر اشکان فرهادی در اردبیل

مرکز زیبایی و لیزر الکساندرایت دکا

مرکز زیبایی و لیزر درمیس اردبیل

کلینیک دندانپزشکی رویال اردبیل

کلینیک دندانپزشکی بهدندان اردبیل

کلینیک دندانپزشکی لبخند سفید اردبیل

درمانگاه دندانپزشکی امین

کلینیک دندانپزشکی دکتر غفاری

کلینیک دندانپزشکی آوان

مطب دکتر ارش عالمیان

کلینیک دندانپزشکی خاتم الانبیا

کلینیک دندانپزشکی امام سجاد

کلینیک دندانپزشکی آرش ابراهیمی

دکتر مسعود راستکاری

دکتر مژگان رفیع زاده

دکتر نیکنام جهانفر

دکتر مرتضی جعفری

دکتر سیدمحمد حسین آقاجانلو

مرکز لیزر پارس

مرکز جراحی افق

کلینیک زیبایی پری سا

کلینیک پوست به سیما (دکتر زنگنه)

کلینک زیبایی شفا

مطب دکتر محمود فرشچیان متخصص پوست و مو

مرکز لیزرکندلا آمریکا دکتر عمرانی

مطب تخصصی زیبایی آرشا

مرکز لیزر و زیبایی پرتو

کلینیک زیبایی پوست و لیزر ماهرخ

کلینیک زیبایی گلشید

کلینیک زیبایی رویال شهرک غرب

مرکز لیزر و زیبایی آریان شهرک غرب

کلینیک زیبایی گلبان در شهرک غرب

کلینیک زیبایی و کاشت مو بلوط شهرک غرب

کلینیک زیبایی و مرکز لیزر پارلار

کلینیک تخصصی دندانپزشکی دیبا

کلینیک دندانپزشکی تابان شهرک غرب

کلینیک دندانپزشکی روشا

کلینیک دندانپزشکی رونیا شهرک غرب

کلینیک دندانپزشکی زیبادنت شهرک غرب

کلینیک تخصصی دندانپزشکی لوبا شهرک غرب

دندانپزشکی آرشین شهرک غرب

کلینیک دندانپزشکی تخصصی دیجیتال باران شهرک غرب

کلینیک دکتر سید جواد سید محسنی شهرک غرب

دندانپزشکی بیوتی کر(شهرک غرب)

کلینیک دندانپزشکی ما(شهرک غرب)

کلینیک دندانپزشکی ایران زمین(شهرک غرب)

کلینیک دندانپزشکی دیبا(شهرک غرب)

کلینیک دندانپزشکی ایرانیان(شهرک غرب)

کلینیک زیبایی پرتو شهرک غرب

کلینیک زیبایی دنیز در سعادت آباد

کلینیک زیبایی گندم

کلینیک دندانپزشکی رویا

کلینیک دندانپزشکی روانمهر

درمانگاه شبانه روزی حکیم شیراز

کلینیک شبانه روزی دندانپزشکی حکمت

کلینیک دندانپزشکی شبانه روزی سینوهه

درمانگاه دندانپزشکی شبانه روزی قلب الزهرا

دندانپزشکی شبانه روزی میلاد مشهد

دندانپزشکی شبانه روزی میلاد مشهد

دندانپزشکی شبانه روزی نوین مشهد

درمانگاه و داروخانه و دندانپزشکی شبانه روزی شهید دارا

دندانپزشکی امید جزیره قشم

درمانگاه شبانه روزی سلامت جزیره

درمانگاه امام رضا (ع) قشم

درمانگاه شبانه روزی شفا درگهان قشم

کلینیک دندانپزشکی شبانه روزی میلاد مشهد

درمانگاه شبانه‌روزی و دندانپزشکی جی

کلینیک شبانه روزی پاسارگاد اصفهان

درمانگاه دندانپزشکی شبانه روزی ادیب اصفهان

کلینیک دندانپزشکی شبانه روزی کاوه اصفهان

مرکز دندانپزشکی شهاب

کلینیک زیبایی لیا

کلینیک زیبایی پوست و مو آیلا

کلینیک زیبایی پوست و مو گلشید (دکتر تفت)

کلینیک پوست، مو و زیبایی شکیبا

مطب زیبایی سلین

کلینیک زیبایی مارال

کلینیک ارکید پونک

کلینیک پوست و مو دلدار

کلینیک زیبایی گلدن بادی بیوتی

کلینیک زیبایی الماس غرب

کلینیک پوست، مو و زیبایی آنیل

کلینیک زیبایی خورشید غرب

مرکز زیبایی آیریس

مرکز تخصصی پوست و مو ، لیزر و لاغری درناز

کلینیک زیبایی ملوبیوتی

کلینیک زیبایی دکتر محمد صادق رمضانی

کلینیک زیبایی نیسا

کلینیک زیبایی پریسان

کلینیک زیبایی دکتر فهیمه اکبری

کلینیک زیبایی شاهرودی طب

کلینیک زیبایی بهشت در غرب تهران

کلینیک زیبایی ایرانیان در غرب تهران

کلینیک زیبایی دکتر صباغی در غرب تهران

کلینیک زیبایی تندیس در غرب تهران

کلینیک زیبایی دکتر قانعی در غرب تهران

کلینیک زیبایی کیمیا در غرب تهران

کلینیک زیبایی بهتین در غرب تهران

کلینیک زیبایی لیزا در غرب تهران

کلینیک زیبایی بهارین در غرب تهران

کلینیک دندان پزشکی دکتر نازیلا بذرافکن

درمانگاه دندانپزشکی مروارید

کلینیک دندانپزشکی عاج (دکترهاشمی پور)

درمانگاه دندانپزشکی پاسارگاد

درمانگاه دندانپزشکی آرام

کلینیک دندانپزشکی سال

کلینیک دندانپزشکی مهتاب

کلینیک دندانپزشکی دیجیتال تبسم

کلینیک دندانپزشکی میلاد

کلینیک دندانپزشکی درین

کلینیک دندانپزشکی دکتر کشاورز

کلینیک دندانپزشکی صدف

کلینیک دندانپزشکی آرسته

کلینیک دندانپزشکی میلاد

کلینیک دندانپزشکی ایران

کلینیک دندانپزشکی لبخندی نو

کلینیک دندانپزشکی نیایش

کلینیک دهان پزشکی و دندانپزشکی نگین

کلینیک دندانپزشکی مهر

کلینیک دندانپزشکی یکتا پارس

کلینیک دندانپزشکی سپیده

کلینیک دندانپزشکی ماه

کلینیک دندانپزشکی ابن سینا

کلینیک دندانپزشکی گلفام

کلینیک دندانپزشکی آرمان

کلینیک دندانپزشکی قائم

درمانگاه دندانپزشکی ترنج

درمانگاه دندانپزشکی جم

کلینیک دندانپزشکی سرو

درمانگاه دندانپزشکی کیمیا

کلینیک زیبایی آرمانی

کلینیک زیبایی دکتر متقی

کلینیک زیبایی دکتر بهمنی

کلینیک زیبایی پارسامهر

کلینیک زیبایی ایرسا

کلینیک زیبایی پارسه

کلینیک مو و زیبایی آریان

کلینیک زیبایی لیان

کلینیک زیبایی دنا

کلینیک زیبایی پرنیان

کلینیک زیبایی دکتر وارث

کلینیک زیبایی نونا

کلینیک زیبایی هامین

کلینیک زیبایی جردن

کلینیک زیبایی وکاشت مو رخ

کلینیک زیبایی باران

کلینیک زیبایی مارینا

کلینیک زیبایی سیب

کلینیک زیبایی هیرا

کلینیک زیبایی آویسا

کلینیک زیبایی کسما

کلینیک زیبایی به سیما

کلینیک دندانپزشکی آدینه

کلینیک دندانپزشکی آغ دیش

کلینیک دندانپزشکی مهدیس

درمانگاه دندانپزشکی ولیعصر

کلینیک دندانپزشکی اردیبهشت

کلینیک دندانپزشکی دکتر آرام

درمانگاه دندانپزشکی دندان

کلینیک دندانپزشکی سینا

دندانپزشکی شبانه روزی بهبود

کلینیک دندانپزشکی متقی خسروشاهی

کلینیک دندانپزشکی شهید بهشتی

درمانگاه دندانپزشکی دکتر ذهنی

کلینیک دندانپزشکی پالس دنت

کلینیک دندانپزشکی آل هاشم

کلینیک دندانپزشکی نیکان تبریز

کلینیک دندانپزشکی فراز تبریز

کلینیک دندانپزشکی نشاط

کلینیک لیزر و زیبایی آسیا

كلينيك پوست و موي الماس

کلینیک پوست و مو دکتر منیری

کلینیک تخصصی پوست و لیزر ولیعصر VLS

کلینیک لاغری و زیبایی لمون

مرکز سلامت پوست و مو مروارید تبریز

کلینیک زیبایی اکسیر

کلینیک پوست و مو و لیزر نیک سیما

کلینیک لیزر و زیبایی ماهور

کلینیک زیبایی میرا

کلینیک ماهان تبریز

کلینیک زیبایی دکترابوالعلائی

کلینیک زیبایی ایرانیان تبریز

کلینیک زیبایی صدف تبریز

کلینیک زیبایی حکیمان تبریز

کلینیک زیبایی شعله

کلینیک زیبایی سهند

کلینیک زیبایی پردیس مهر

کلینیک زیبایی مه نگار

کلینیک زیبایی پوست و مو شمشیری

کلینیک پوست و مو دیلای

کلینیک زیبایی وایتال فورس

کلینیک زیبایی آنا طب

کلینیک پوست و مو و زیبایی هیوا

کلینیک زیبایی آلما

کلینیک زیبایی دکتر رهبری

کلینیک زیبایی ایران مهر

کلینیک تخصصی زیبایی فائق

کلینیک زیبایی پاستور

کلینیک کاشت مو و لیزر برنا

نیوا کلینیک

کلینیک زیبایی سپید

کلینیک زیبایی آرمان

کلینیک دندانپزشکی دانا

کلینیک دندانپزشکی باران

کلینیک دندانپزشکی کادوس

کلینیک دندانپزشکی گلسار

کلینیک دندانپزشکی صابرین

کلینیک دندانپزشکی آرین

کلینیک دندانپزشکی آپادانا

مرکز پزشکی و لیزر مگنولیا

کلینیک زیبایی برنا

کلینیک زیبایی دکتر امانی

کلینیک زیبایی دکتر مقدم

مرکز زیبایی گلسار

کلینیک زیبایی رویال

کلینیک زیبایی سابرینا

کلینیک زیبایی الماس

کلینیک زیبایی آلما

مرکز زیبایی گراند کلینیک

کلینیک زیبایی مارلیک

کلینیک زیبایی لاوین

کلینیک زیبایی دی

کلینیک زیبایی ارژنا

کلینیک زیبایی هیوا

کلینیک زیبایی آراد

کلینیک زیبایی آرامان

کلینیک زیبایی دکتر امامی سیگارودی

کلینیک تخصصی زیبایی باران

کلینیک دندانپزشکی کاخ

کلینیک دندانپزشکی فردا

دندانپزشکی درمانگاه شبانه روزی شهید چمران (مشهد)

کلینیک دندانپزشکی بزرگمهر مشهد

کلینیک دندان پزشکی نوین مهر

کلینیک دندانپزشکی دکتر فرید فاضلی

درمانگاه شبانه روزی دولتی پردیس توس مشهد

درمانگاه دندانپزشکی آکام

کلینیک دندان پزشکی پارادایس

کلینیک دندانپزشکی بزرگمهر

کلینیک دندانپزشکی خوارزمی

کلینیک دندانپزشکی اسمارت

کلینیک دندانپزشکی فارابی

کلینیک دندانپزشکی کوروش

کلینیک دندان پزشکی سپهر سلامت

کلینیک دندان پزشکی دکتر باقری

کلینیک دندان پزشکی شهاب

کلینیک دندان پزشکی اطفال دکتر فاطمه کرمانی

کلینیک دندان پزشکی مرکز بارانا

کلینیک دندانپزشکی دکتر فهیمه شاهرخی

کلینیک دندانپزشکی مرکز نادر

کلینیک دندانپزشکی درسان

کلینیک دندانپزشکی سعادت

کلینیک دندانپزشكی تیک

کلینیک دندانپزشکی کیان مهر

کلینیک دندانپزشکی یاسمن

کلینیک دندانپزشکی رویال

کلینیک دندانپزشکی تخصصی حکمت

کلینیک دندان پزشکی آرامش مشهد

کلینیک دندانپزشکی دکتر کوثری

کلینیک دندانپزشکی سبا

کلینیک دندانپزشکی امین

کلینیک دندانپزشکی هاشمیه

کلینیک شبانه روزی دندانپزشکی قانع

کلینیک شبانه روزی دندانپزشکی نوین

کلینیک دندانپزشکی آریا

کلینیک شبانه روزی دندانپزشکی ایرانمهر

کلینیک دندانپزشکی آرنیکا

کلینیک شبانه روزی دندانپزشکی ایرانیان

کلینیک شبانه روزی دندانپزشکی حکیم توس

کلینیک شبانه روزی دندانپزشکی لبخند ماندگار

کلینیک شبانه روزی دندانپزشکی سلامت فکوری

کلینیک دندانپزشکی بهار

کلینیک پوست و مو فلسطین مشهد

کلینیک پوست و مو ماهان

کلینیک تخصصی پوست و مو باران توس

درمانگاه تخصصی پوست و مو آفرینش

کلینیک پوست و مو مه آرا

کلینیک تخصصی پوست و مو سی گل

کلینیک تخصصی پوست و مو نوین ایرانا

کلینیک پوست و مو زیبا آفرین

کلینیک زیبایی پوست و مو الین

کلینیک زیبایی بهاران

کلینیک زیبایی دکتر رزم آرا

كلينيک نوآوران زيبایی

كلينيک زیبایی آبنوس مشهد

كلينيک زیبایی سيماطب

كلينيک زیبایی رازی

كلينيک زیبایی آراد

كلينيک زیبایی نگين

کلینیک تخصصی زیبایی شهیر

مرکز تخصصی زیبایی پایدار

مرکز تخصصی و زیبایی باران

کلینیک تخصصی و زیبایی یاس

کلینیک زیبایی تخصصی رویال

کلینیک زیبایی تخصصی دنیز